CLOSE
011-299-5561
診療時間
9:00 ~ 12:00 -
16:00 ~ 19:00 - - -

※12:00~16:00は手術・検査・トリミング・往診の時間となります。

最終受付 18:30まで

cases

症例

脾臓腫瘤

脾臓は体の左側で胃の後方にあります。
働きとしては ①赤血球の貯蔵 ②赤血球の破壊 ③免疫があります。
血液が非常に多いのでそれに関連した病気も多く認められます。 その代表的な病態として腫瘤形成があり、この腫瘤の正体は血腫と言われる血液の塊から血管肉腫と言われる悪性腫瘍まで様々です。しかし、この腫瘤が徐々に拡大し破裂を起こすと正体に関わらずお腹の中で大量の出血を起こすので、貧血・食欲不振・虚脱場合によっては亡くなることもあります。しかしながら破裂する前はいつも通り元気なことが多いのでの発見が遅れてしまい、破裂し虚脱状態で病院に来るのが現状です。

実際の症例

9歳のM.ダックス、チョロちゃん。
下痢を主訴に来院されました。経緯や状態を診て一過性の下痢と思われたので治療を開始しました。
実はこの時身体検査でお腹の中に腫瘤病変を触知したので、下痢が良化したら腫瘤病変の検査を行うことにしました。数日で下痢はよくなったので腫瘤の検査を行いました。
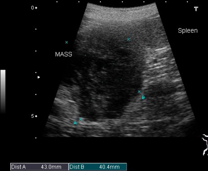
各種検査の結果、脾臓に4cm大の腫瘤が形成されていました。
元気も食欲もあり貧血などの状態もありませんでした。
飼い主様には偶発的な発見であり状態はかなり良いことや破裂の危険性に関してお話をさせていただき手術の同意を得ることができました。

  • エコー画像

全身麻酔は複数の鎮痛薬・鎮静薬を使い麻酔薬量を減らすことができる‘コンビネーション麻酔’を行います。
開腹したところ、破裂を起こし出血している所見はなく、一部癒着を起こしていたものの問題なく摘出することができました。

  • 手術画像
  • 血腫

病理検査の結果は『血腫』でした。
術後の経過も非常に良好で抜糸も予定どうりに行えました。
その後はとっても元気に通常の生活を送ってます。
今回は脾臓腫瘤とは別のことで来院され、身体検査で偶発的に発見し早期に治療を開始でき完治しました。
もし、病院に来なければもっともっと大きくなり、破裂を起こしていた可能性も十分あります。
今回の症例は、非常に良好に手術を行うことがてきたことはもちろんのことですが、早期発見がいかに大事かということです。
早期発見には日頃の健康診断が大事です!
まつい犬猫では健康診断(ドック・キャットドック)を推奨しております。
ライフステージにあったプランもご相談できます、スタッフまでお声掛けください。 健康第一!!

セカンドオピニオン

セカンドオピニオンとは日本語では『第2の意見』と訳されるのでしょうか。
担当医(かかりつけ動物病院)の意見を第1の意見としたらその他の医師の意見をセカンドオピニオンと呼びます。
担当医を変えたり、転院し治療を受けたりすることだと思われる方もいらっしゃいますがそうではありません。
セカンドオピニオンを受けることで担当医の意見を別の角度から見て考えることができ、同じ診断や治療方針であれば病気に対する理解が深まります。また別の治療方針を提案されれば選択肢の幅が広がります。それによりより納得して治療を受けられます。

実際の症例

16歳のトイプードルのももちゃん
かかりつけ医で乳腺腫瘍の診断を受けました。
実は数年前から存在していましたが年齢などを考慮し治療は見合わせていましたが最近拡大傾向が認められ受診しましたが、腫瘍が大きいため手術不可能との事でした。セカンドオピニオンを希望し当院を受診されました。

  • トイプードル

16歳という年齢を考慮するとこのまま腫瘍とうまくお付き合いする事は一般的ではありましたが、
当院で各種検査にて全身状態と腫瘍の発生具合(付着具合)などを評価させていただき、外科適応の判断をしました。
麻酔の説明、手術を行う事と行わない事の予想される経過など説明し、手術を行う事となりました。

  • 腫瘍1
  • 腫瘍2

全身麻酔は複数の鎮痛薬・鎮静薬を使い麻酔薬量を減らすことができる‘コンビネーション麻酔’を行います。
手術中も安定した麻酔を行うことができ、切除範囲は最小限に抑えましたが後の検査で完全切除を行えておりました。
術後も安定しており予定どうりの経過を過ごすことができました。退院後1週間で抜糸も行ってます。
飼い主様のお話では、手術前は腫瘤が大きく、本人もチョコチョコ気にして安眠できていなかったがそれもなくなり非常に元気になったとのことです。今後は、かかりつけ医で検診や予防などをやってもっています。
まつい犬猫病院では、最善の治療法をご提案させていただき、飼い主さまと相談の元、治療方針を決定していきます。
本症例では高齢犬の全身麻酔を必要とする外科手術を無事行うことができました。
まだまだ元気に長生きしよね〜!

股関節脱臼

股関節は骨盤と大腿骨をつなげる関節です。大腿骨頭という円形の骨端が骨盤の寛骨臼という凹みにぴったり収まって機能する関節です。
この股関節が転倒や転落、交通事故など大きな力が加わることにより外れる状態を股関節脱臼と言います。犬の場合犬種によって元々外れやすい(関節が緩い)ことがあります。治療は外れたものを戻すことが基本となり様々な治療がありますが、再発やその都度強い痛みや跛行・接地不全を起こすこともあり骨頭を切除し歩様を改善させる治療などもあります。

実際の症例

12歳のウエスティー リンちゃん。
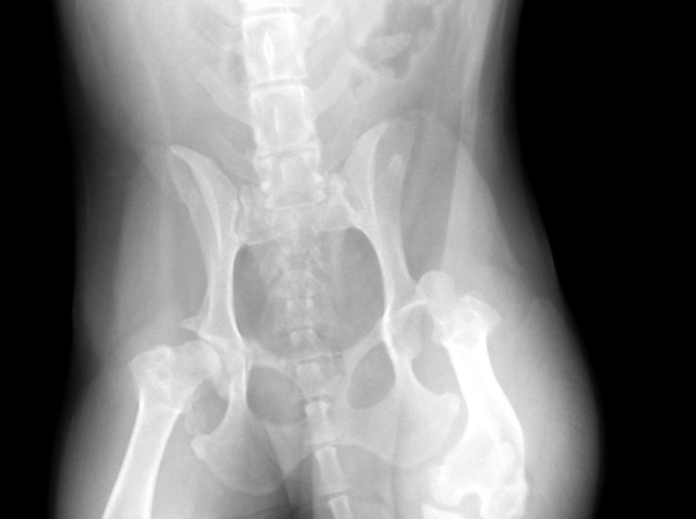
雪道を散歩中に突然腰が落ちるようになり『キャン』と鳴いた後から左後肢が着かなくなり来院されました。

  • レントゲン写真1
  • レントゲン写真2

レントゲンで左後肢の脱臼所見が認められました。麻酔下で非観血的に関節を戻し包帯で固定を行いましたが、数日で再脱臼を起こしてしまいました。飼い主さまと幾つかの治療プランや今後の経過プランを相談し大腿骨頭切除術を行うことにしました。
全身麻酔は複数の鎮痛薬・鎮静薬を使い麻酔薬量を減らすことができる‘コンビネーション麻酔’を行いました。
手術後順調に抜糸を終え歩様も徐々に改善しています。現在はサプリメントを使い経過観察しております。

胆嚢破裂のシュナウザー

胆嚢は肝臓に付随している袋状の臓器で、肝臓で生成された胆汁を貯蔵・排出し小腸での脂肪の消化吸収や脂溶性物質の排泄を行っています。
この胆嚢が、感染・胆汁うっ滞・胆嚢粘液嚢腫・膵炎の波及などにより強い胆嚢炎を起こしてしまうと破裂し
胆汁性腹膜炎を生じ急激な転帰(死亡)をおこしても珍しくない病気です。
血液検査や画像検査(レントゲン・超音波)ホルモン検査・凝固検査など適切な検査を行い外科治療が必要とされます。

実際の症例

11歳、避妊雌のMシュナウザーのくるみちゃん。
元気消失・嘔吐・食欲低下で来院されました。
血液検査では肝障害・黄疸・強い炎症反応が認められ、画像検査では胆汁の異常(胆泥)と排出障害、また周囲への炎症波及が認められました。強い胆嚢炎と判断し、飼い主様と相談のもと外科治療(胆嚢摘出)を行いました。

  • シュナウザー
  • 手術様子
  • 摘出した胆嚢

全身麻酔は複数の鎮痛薬・鎮静薬を使い麻酔薬量を減らすことができる‘コンビネーション麻酔’を行います。
開腹したところ胆汁が泥状化した胆泥の漏出と腹膜の炎症像が認められ胆嚢破裂を起こしていました。
胆嚢は周囲組織(肝臓・腸間膜・大網膜)と重度の癒着を起こしていました。癒着を丁寧に剥がし破れた胆嚢を肝臓から剥がし、胆汁の漏出を起こさせないように結紮離断をします。
今回のCaseでは胆嚢の壊死と膵臓まで残り数ミリの所まで癒着がありより緻密でより正確な手技が必要でしたが無事摘出することがでいました。数日入院しましたが、退院時には食欲も回復し炎症反応も低下しておりました。
現在は抜糸も終わり元気いっぱいに生活しておりますが、胆嚢疾患の背景には脂質との関わりが強く関係しており低脂肪食のフードを指示しています。今回は命に関わる大きな病気でしたが、飼い主様のご理解と手術への決断のおかげで無事手術も終え元気な笑顔を取り戻すことができて良かったです。
まつい犬猫病院では、最善の治療法をご提案させていただき、飼い主さまと相談の元、治療方針を決定していきます。

ネコの乳腺腫瘍

昨今、飼育環境や食事内容の良化や獣医療の進歩に伴い犬猫の寿命がどんどん伸びてきています。それと同時に病気の発生も多いです。ここ数年では猫の飼育頭数が犬の飼育頭数を超えてきて、ネコブーム!と言われていますね。今回はネコの乳腺腫瘍のお話しです。
ネコの乳腺腫瘍も圧倒的に雌の発生が多くまた未避妊のネコの方が発症が多いと言われ雌生ホルモンの関与が関与していると思われます。
またネコの場合は、犬と比べて悪性(癌)のケースが非常に多く早期発見と積極的な外科治療が選ばれます。

実際の症例

17歳のメス猫です。
右の4番目の乳頭近くにシコリがあるとの主訴で来院されました。
各種検査の結果乳腺腫瘍が疑われ、転移所見もなく比較的早期の病変と思われましたが、若干の腎機能の低下が認められました。
とても元気な猫ちゃんですが、17歳という高齢のため今後の予後や幾つかの治療プランをお話しさせていただきました結果、外科手術を希望されました。

  • メス猫
  • 摘出した組織
  • 切開
  • 縫合

高齢猫であるため全身麻酔非常に慎重に行いました。複数の鎮痛薬・鎮静薬を使い麻酔薬量を減らすことができる‘コンビネーション麻酔’を行います。猫の乳腺腫瘍は片側全摘手術や全摘手術などの広範囲切除をすることが多いですが今回のケースは片側のさらに半分の切除範囲で行いました。手術中の麻酔も非常に安定し覚醒もとてもスムーズにいきました。シコリの結果は『乳腺腺癌』でしたが、リンパ節の転移所見も認められませんでした。今後は腎機能低下の治療を行いつつ経過観察です。
まつい犬猫病院では、最善の治療法をご提案させていただき、飼い主さまと相談の元、治療方針を決定していきます。
本症例では超高齢ネコの全身麻酔を必要とする外科手術を無事行うことができました。もっともっと長生きしようね〜!

犬の乳腺腫瘍

犬の乳腺腫瘍は、雌犬には一般的な(頻度の高い)腫瘍です。
乳腺腫瘍が発生する要因はホルモンや肥満などが指摘されていますがとりわけ『ホルモン』が強く関係していると考えられています。
それは避妊手術と乳腺腫瘍の発生率の関係で表されます。初回発情前に避妊手術をした子たちでは発症率が0.05%であり、2度目の発情後の避妊手術では発症率が26%との報告があります。このことより、早期の避妊手術をすることにより乳腺腫瘍の予防が行えると思われます。まつい犬猫病院でも避妊手術のメリットとして考えております。
実際、乳腺腫瘍発生したらどのような治療を行うのでしょうか?
治療計画を立てるに当たって腫瘍の進行度と全身状態を把握しなければなりません、そのためにレントゲン検査・血液検査をはじめとする各種検査を行わせていただき治療方針を決定します。基本的人は外科治療がメインとなります。

実際の症例

14歳のミニチュアダックスフンドです。
4番目の乳頭(ちくび)部に大きなシコリができていました。
各種検査により全身状態は良好であり手術前での転移やリンパ節の腫れ等も認められないため外科手術をおこなうようにしました。

  • 乳頭(ちくび)部に大きなシコリ1
  • 乳頭(ちくび)部に大きなシコリ2

今回は、3番目の乳頭部から一番下の5番目の乳頭部までと、内股の鼠径リンパ節を含めて切除しました。
摘出した腫瘍の病理検査では、腫瘍は全部取り切ることができ、なおかつリンパ節の病変も認められませんでした。
術後経過(治療計画)は定期検診での経過観察となりました。乳腺腫瘍は腫瘍の大きさや位置また進行度によって治療計画が大きく変わるので、シコリを発見した場合は迷わず速やかに病院にご来院ください。
飼い主様がご納得される最善の治療計画を提供(相談)させていただきます。

尿路(膀胱・尿道)結石

尿路結石は犬・猫の泌尿器疾患の中では比較的よく診察する疾患です。
尿路結石が形成される要因は、オシッコの中の塩類濃度が高い、塩類が結晶化されやすい尿pH、オシッコが膀胱内に長い時間溜まっている(オシッコを我慢している)、細菌感染を起こしている、などが考えられます。
結石に伴う症状とは?
膀胱炎症状を出します。頻尿・血尿が主な症状です。男の子の場合、膀胱から結石が出て尿道で詰まってしまい排尿障害(何度もオシッコをする体勢をするがオシッコが出ない)を起こすケースもあります。
診断は尿検査をはじめレントゲン検査・超音波検査を行い結石の有無・個数また膀胱の状態を診ていきます。
治療は結石の種類・症状・結石の大きさなどによって異なります。
食事療法によて改善するケースもありますが、外科手術によって結石の摘出を行うケースが多いと思います。

実際の症例

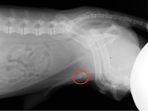
16歳8ヶ月のミニチュアダックスフンドです。
排尿困難とのことで来院されました。以前より膀胱結石の存在は知っていたとのことですが、主だった症状もなく高齢とのこともあり食餌療法で経過を追っていたとのことでした。当院でのレントゲン検査ではペニス内に結石が詰まっている所見が認められました。(犬のペニスには陰茎骨という骨があります)赤丸で示した部位で、陰茎骨内に丸い結石がありこれが排尿を妨げていました。
カテーテルで結石を膀胱内に押し戻し排尿ルートを確保し後に結石摘出手術を行いました。

  • ミニチュアダックスフンド
  • レントゲン検査
  • 膀胱結石

今回の症例はかなり高齢な犬です。しかし結石が詰まると『苦しそうにしている姿が辛い』と飼い主様も手術を希望されました。 全身麻酔は、複数の鎮痛薬・鎮静薬を使い麻酔薬量を減らすことができる‘コンビネーション麻酔’を行い、心拍・血圧などを持ち上げ安定させる薬を使いながら麻酔を行い手術をしました。開腹後、膀胱を切開し結石を摘出した後、膀胱の洗浄を行い切開した膀胱を縫合し閉腹という術式です。術後の入院中は排尿もスムーズで食欲もあり状態の安定を確認したのち退院としました。 現在は抜糸を終え飼い主さまと食餌などを相談しながら経過を診ています。
まつい犬猫病院では、最善の治療法をご提案させていただき、飼い主さまと相談の元、治療方針を決定していきます。
本症例では超高齢犬の全身麻酔を必要とする外科手術を無事行うことができました。

麻酔と鎮痛

  • 高齢な大型のワンちゃん

まつい犬猫病院では安全且つ安定した麻酔を行うため『コンビネーション麻酔』を行っております。
鎮痛薬や鎮静薬を使用することによって麻酔薬を大幅に減らすことができ、高齢な大型のワンちゃんにも安定した麻酔を行うことができます。
今回、15歳6ヶ月齢の中〜大型犬の手術を行いました。麻酔の覚醒も非常に早く本人の負担も非常に少ない手術を行うことができました。
これにより、治療の幅が広がります。
また、手術前より、痛みを抑える『マルチモーダン鎮痛』を常時行っているため、『痛い!』と言えないワンちゃん・ネコちゃんにも優しい治療を常に行えます。

  • まつい犬猫病院
    • 住所
      〒065-0026
      北海道札幌市東区北26条東10丁目2-1
    • TEL
      011-299-5561(最終受付18:30)
    • アクセス
      【地下鉄でお越しの方へ】
      地下鉄東豊線元町駅から徒歩5分です。

      【車でお越しの方へ】
      駐車場は5台駐車できます。
      当動物病院は、中央区/東区/北区/白石区からアクセスしやすい場所に位置しております。
  • 診療時間
    9:00 ~ 12:00 -
    16:00 ~ 19:00 - - -

    ※12:00~16:00は手術・検査・トリミング・往診の時間となります。

    最終受付 18:30まで

    スタッフ写真